Tired of overpriced chemicals and cosmetics? Discover our homemade treatments to enhance your hair, eyes and skin. Our grandmother's remedies and natural recipes will help you take care of your body from the inside.
In todays fast-paced world, sleep troubles affect millions. While remedies vary, one ancient Japanese practice—Moon Breathing—stands out as a simple, effective way to unwind and drift off. Rooted in traditional breathing exercises, this free technique calms the mind and body, promoting restful sleep
If youre living with eczema, youve likely explored various treatments without lasting relief. As dermatology experts drawing from clinical studies and real patient experiences, we recommend these 8 natural remedies, backed by research, to help soothe itching, dryness, and inflammation effectively.1.
Its a growing trend: cutting back or even eliminating alcohol entirely. But how do you make the shift if youre accustomed to enjoying a glass or two with dinner or drinks?Health experts increasingly highlight the benefits of reducing or stopping alcohol consumption. Youll likely sleep better, enjoy
As a Belgian dietitian, Alessia Couvreur spent years trapped in a cycle of restrictive diets and intense workouts to manage her weight. Exhausted, she made a pivotal shift: prioritizing joy in eating and movement while listening to her bodys cues. It became her best decision yet.A naturally slim chi
Feeling unusually tired, anxious, or quickly exhausted? It might not just be stress or lack of sleep—it could signal low iron levels. Behind these symptoms may lurk an iron deficiency, potentially leading to anemia. As someone who battled iron deficiency for years before identifying it with my natur
In France, sugar consumption is alarming: the average person eats the equivalent of 110 sugar cubes per week, totaling about 35 kg annually. Thats staggering! Why do we consume so much? Sugar is ubiquitous as a common additive, and its highly addictive—many of us are hooked without realizing it. Qui
Have you ever felt dizzy upon waking and stepping out of bed? A sudden loss of balance while walking can be disorienting. This might stem from temporary fatigue, but its often orthostatic hypotension or vertigo-related issues like benign paroxysmal positional vertigo (BPPV) or vestibular neuritis. D
Lemon balm (Melissa officinalis) is a versatile herb renowned for its calming aroma and lemony scent. As a herbalist with years of hands-on experience growing and using medicinal plants, Ive relied on it for natural relief from stress, sleep issues, and digestive discomfort. Its soothing infusion is
As a parent, youve likely wondered: Is my baby too cold or too hot at night? Proper dressing is essential for restful sleep and health. Our childrens pediatrician shared this reliable guide, which has proven invaluable for countless families, including ours. Its straightforward and reassuring. Heres
Sugars lurk in nearly every food, even savory dishes. In excess, they threaten your health. As a nutrition expert with years guiding clients through dietary shifts, I know cutting added sugars feels daunting—but the rewards, like rapid weight loss and sustained energy, are transformative. In this gu
Seeking a 100% natural lubricant free from chemicals? Youve found reliable options here. An intimate lubricant enhances pleasure during intercourse, reduces friction, and prevents dryness. Many commercial products include synthetic fragrances, parabens, glycerin, and other irritants that can harm se
Amid health and climate challenges, anxiety affects more of us than ever. Today, Ill share five plants to place in your bedroom that can lower stress and enhance sleep quality. Certain plants naturally de-stress and relax us, creating a serene environment. By choosing the right ones, youll notice be
Do you have a hunched back? Its often caused by slouching in front of computer screens, prolonged driving, sports activities, or constantly staring at your smartphone while standing all day. This poor posture leads to shoulders rounding forward and the head jutting out, weakening your upper body ali
Tea tree essential oil offers versatile benefits for health, skin, and home care. As someone trained in aromatherapy, Ive relied on it for years—its affordable and incredibly practical. Discover why its a staple in natural wellness routines. Curious about essential oils? Check out my guide to daily
Ever heard of the Doctrine of Signatures? This ancient observational method suggests that the shape of certain plants hints at their medicinal benefits—a concept popular in Europe from antiquity through the 18th century. Remarkably, modern science supports similarities between some foods and the org
What sets perpetually happy people apart? Happiness means different things to everyone, yet research shows we can learn valuable lessons from those who radiate joy consistently. Often, its the simplest daily practices that make the biggest difference. Studies on everyday happiness reveal key insight
Discover 30 effective bodyweight exercises designed to help you burn belly fat and build a stronger core from home. These routines strengthen and tone muscles across your entire body, suitable for all fitness levels: beginner, intermediate, and advanced. No equipment needed – perform them anywhere,
Struggling to shed extra pounds? The good news is there are simple, effective strategies backed by research. Traditional diets often leave you hungry and frustrated, making them hard to stick with. Today, Ill share three proven steps for fast, sustainable weight loss that keep you satisfied between
Confused about osteoarthritis and arthritis? These two joint conditions are often mixed up, as both cause pain in areas like the hands, elbows, fingers, knees, ankles, and feet. They belong to the rheumatism family, but their differences are crucial for proper diagnosis and management. As experience
Struggling to shed extra pounds, especially after winter? As someone whos tested these strategies under guidance from my registered dietitian, Im sharing 9 proven tips for natural, effortless weight loss—no extreme diets required. These simple changes target stubborn areas like the stomach, thighs,
COVID-19 Impacts Celebrities: Tom Hanks Tests Positive, Naomi Campbell Travels in Full Protective Gear
White Tongue: Common Causes, Simple Fixes, and When to Seek Medical Help
Tocilizumab Shows Promise Against Cytokine Storms in Severe COVID-19 Cases, AP-HP Trial Reveals
Macros Explained: Are You Eating Varied Enough for Optimal Health?
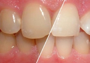
Prevent Teeth Yellowing Naturally: Proven Diluted White Vinegar Method